CASO COMPLEJO N°6
Paciente: Sexo masculino, 60 años.
Examen Inicial: El paciente asiste a la consulta por una urgencia ya que perdió el elemento 11 debido a un traumatismo.
Diagnóstico: Avulsión del elemento 11.
Pronóstico General: Favorable.
Planificación: Implante Bone Level Tapered NC + ROG.
Terapia: Protocolo de colocación y carga temprana de implante tipo 2B. Sutura. Control a los 10 días.
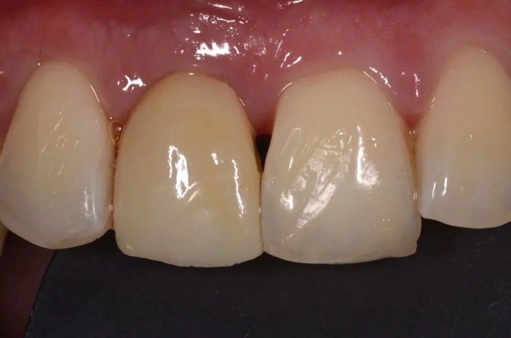
Resultado Final: Se devolvió función y estética al sector anterior.
Tomografía previa
Fotografía inicial
Guía quirúrgica
Implante colocado
ROG + sutura
Perfil de emergencia
Instalación

