caso complejo n°1
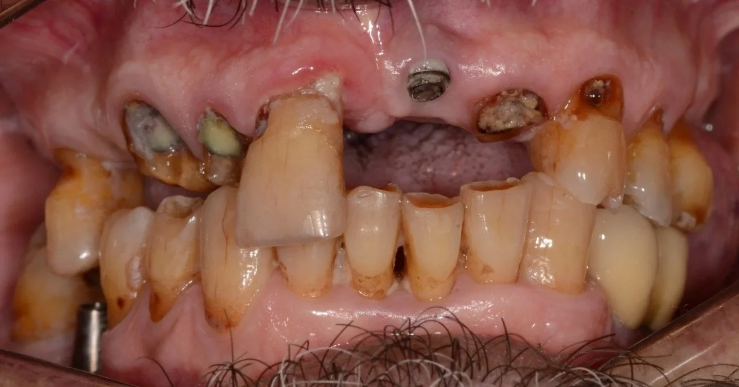
PACIENTE: Sexo masculino, 71 años.
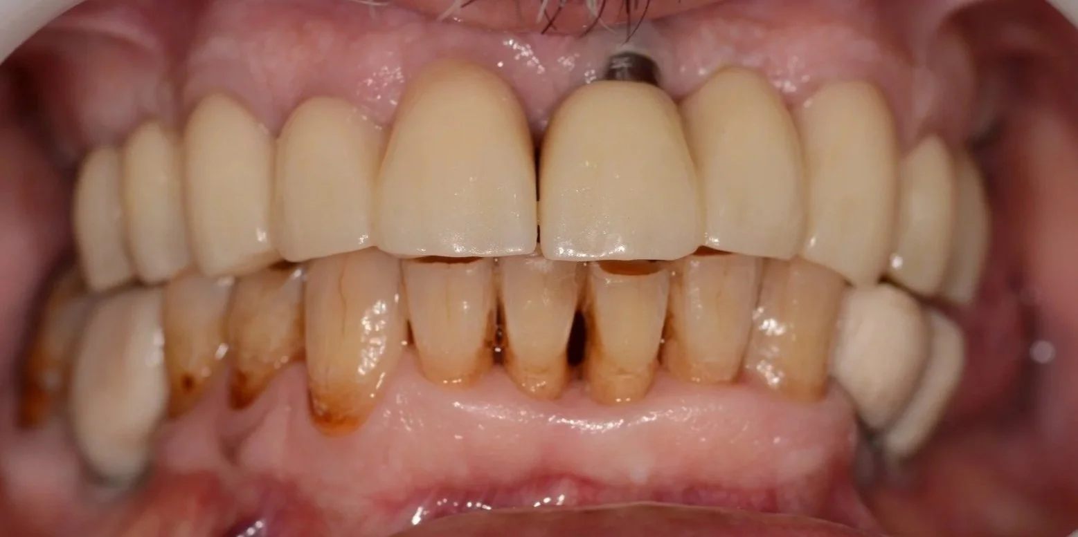
EXAMEN INICIAL: El paciente desea de mejorar su función masticatoria, recuperar su salud oral y lograr una apariencia estética favorable.
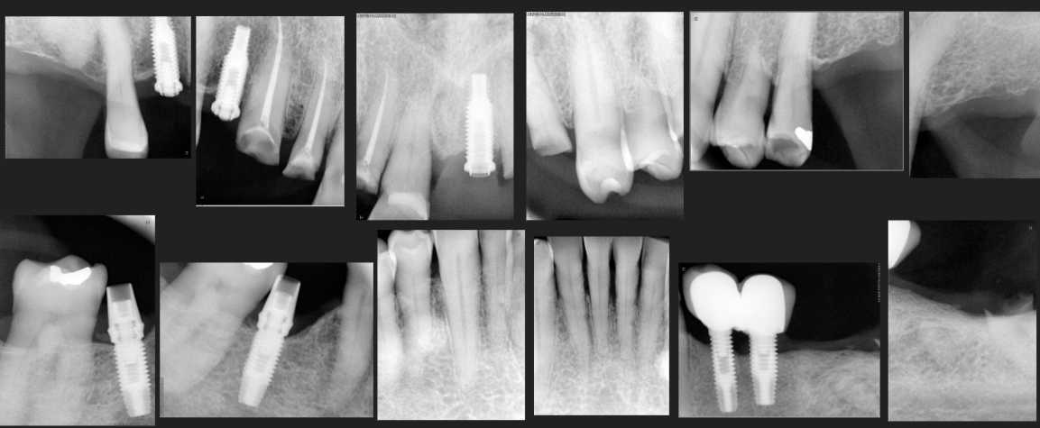
DIAGNÓSTICO: Presenta riesgo y actividad de caries, periodontitis estadío II grado A generalizada, brechas desdentadas clase III del sector I y II (de 15-17 y de 25-27) y sector III (de 35 a 37).
PRONÓSTICO: Desfavorable.
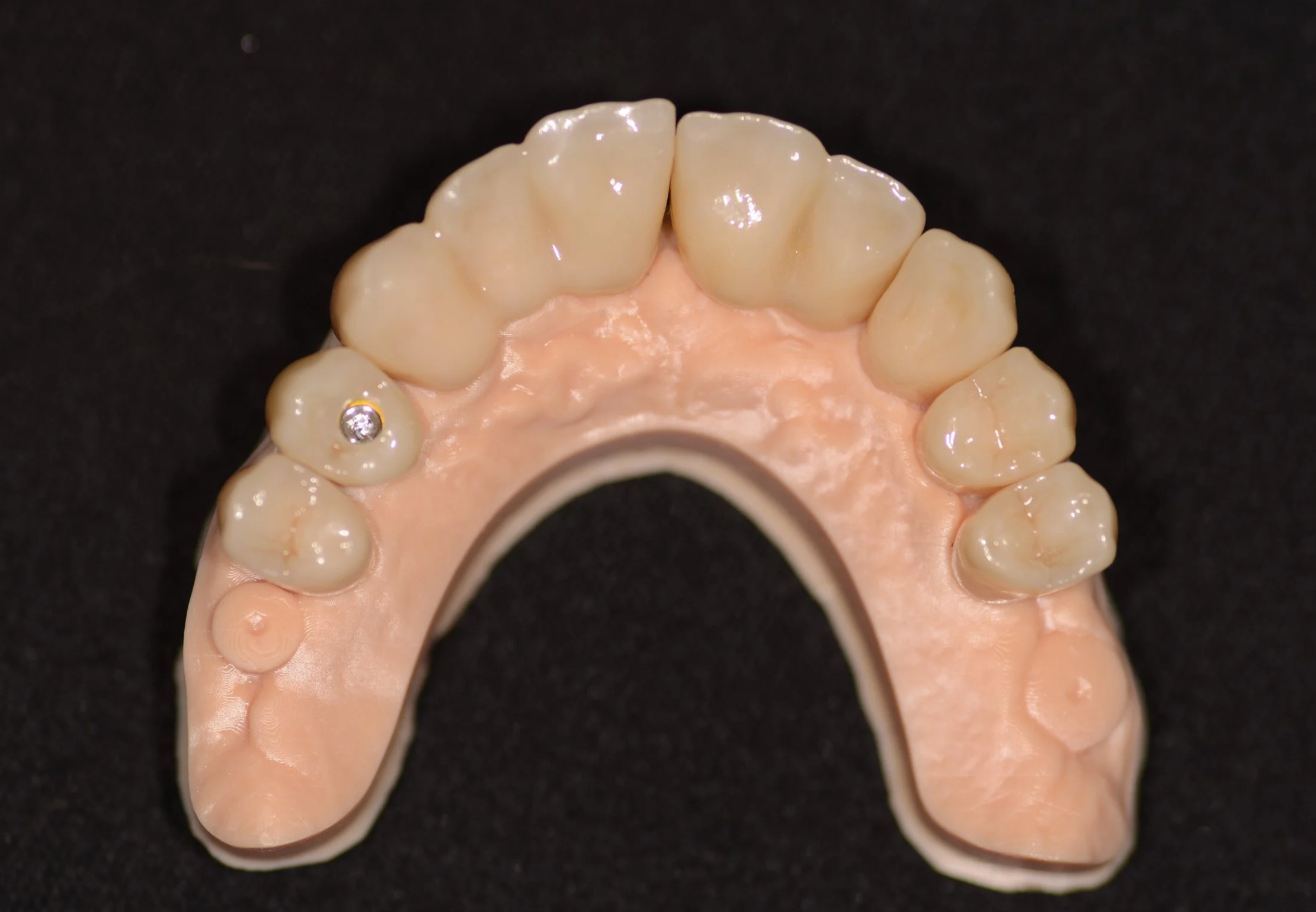
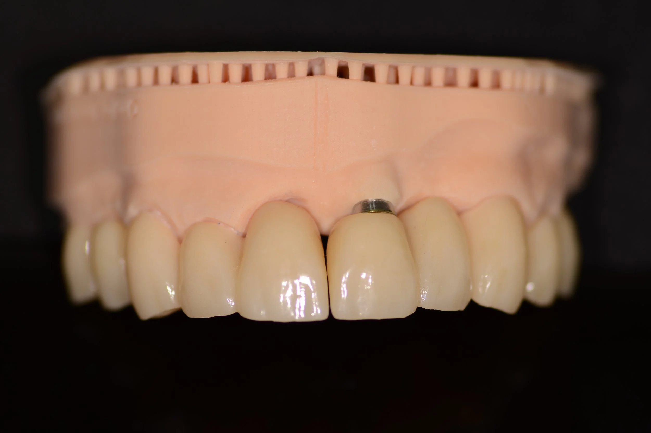
PLANIFICACIÓN: Se presentaron 3 planes de tratamientos, finalmente se decidió realizar reconstrucción fija superior e inferior.
TERAPIA: Terapia básica, complementaria y mantenimiento.
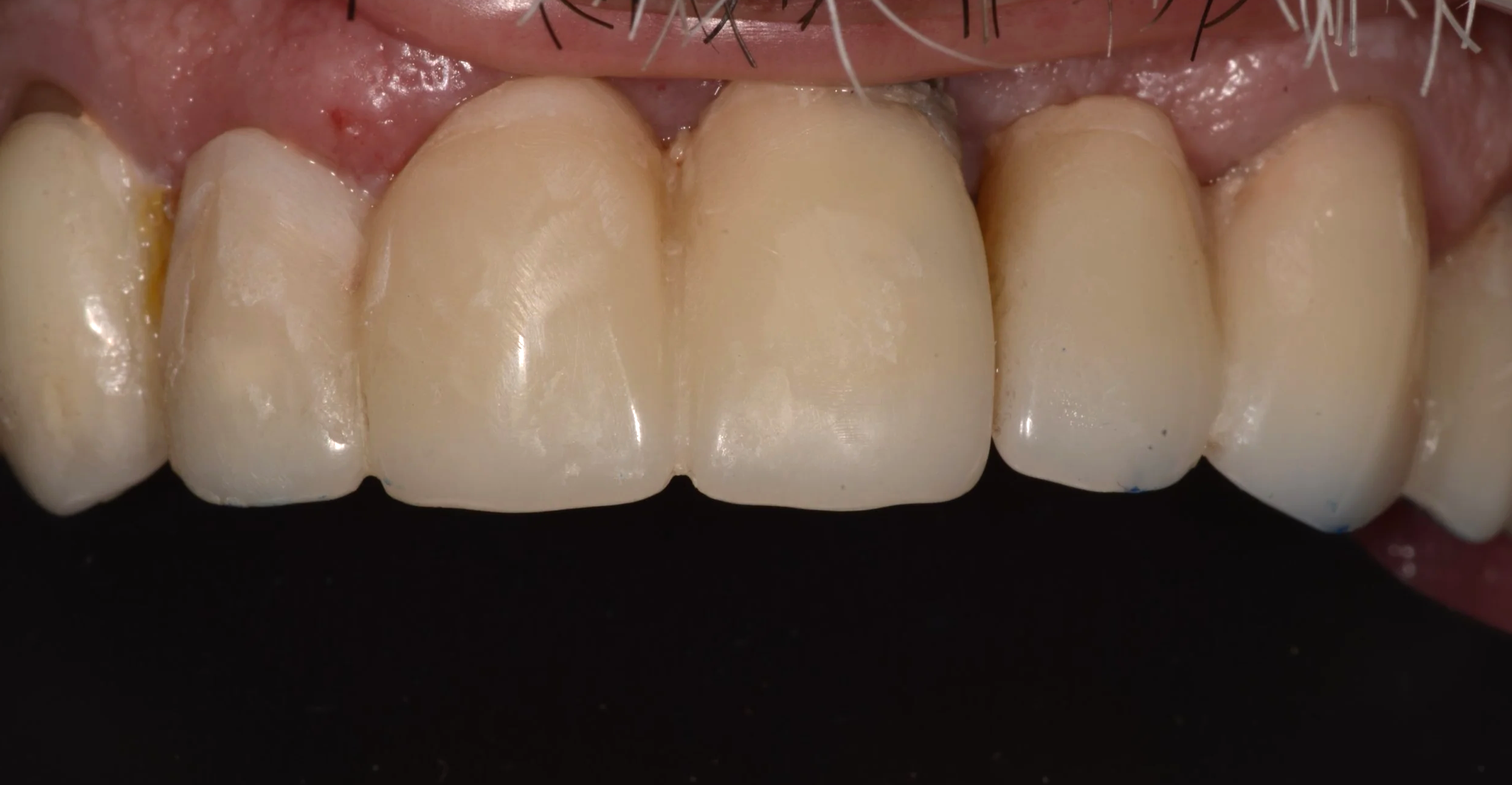
RESULTADO FINAL: El paciente quedó conforme con el tratamiento, recuperó su salud, confort y estética.

Antes

Después

