CASO COMPLEJO N°2
Paciente: Mujer 75 años.
Examen inicial: La paciente concurrió a la consulta con esperando encontrar un lugar donde puedan hacer que ella quede con una boca en salud y que recupere su estética.
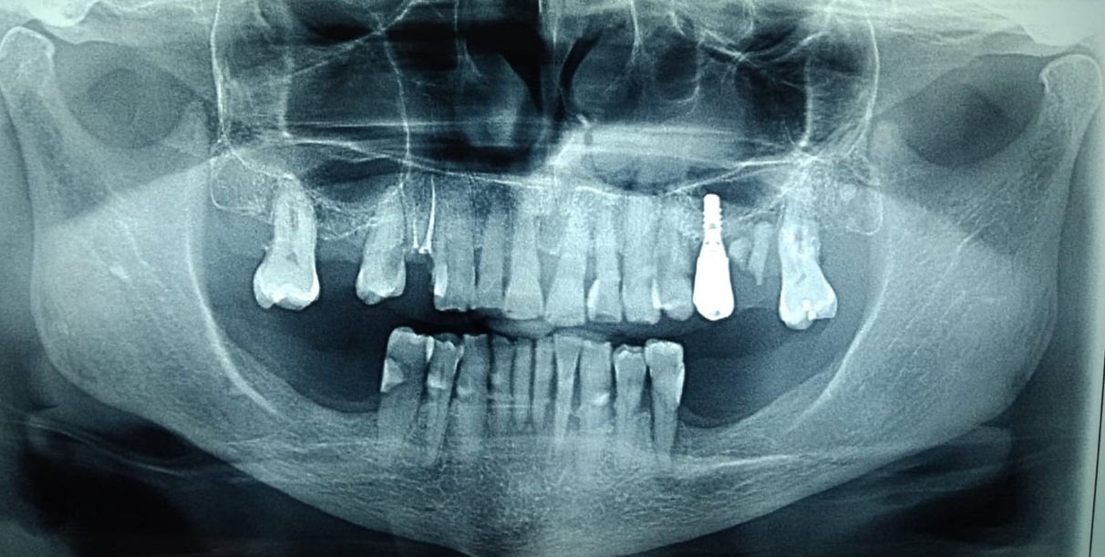
Diagnóstico: Riesgo y actividad de caries. Diagnóstico periodontal: Periodontitis estadio II grado A Generalizada. Diagnóstico oclusal: brechas desdentadas, plano quebrado por extrusión de molares superiores (17 y 27).
Pronóstico: Desfavorable.
Planificación: Prótesis fija superior, y prótesis parcial removible inferior.
Terapia: Terapia básica, terapia complementaria y mantenimiento.
Examen final: Se alcanzó el objetivo de mejorar tanto su salud como su estética dental.
Inicial
Radiografía seriada
Radiografía panorámica
Tomografía
Eliminación de caries y restauraciones
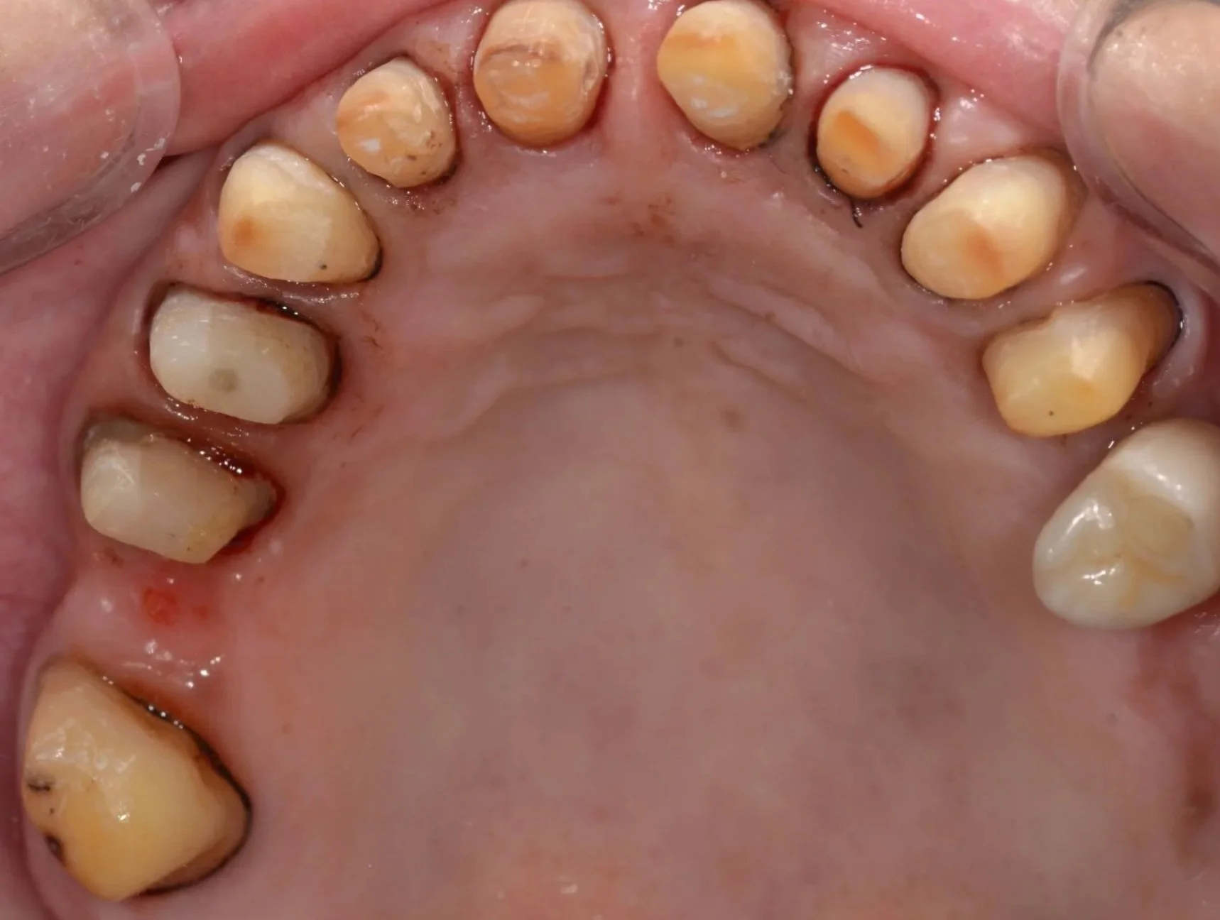
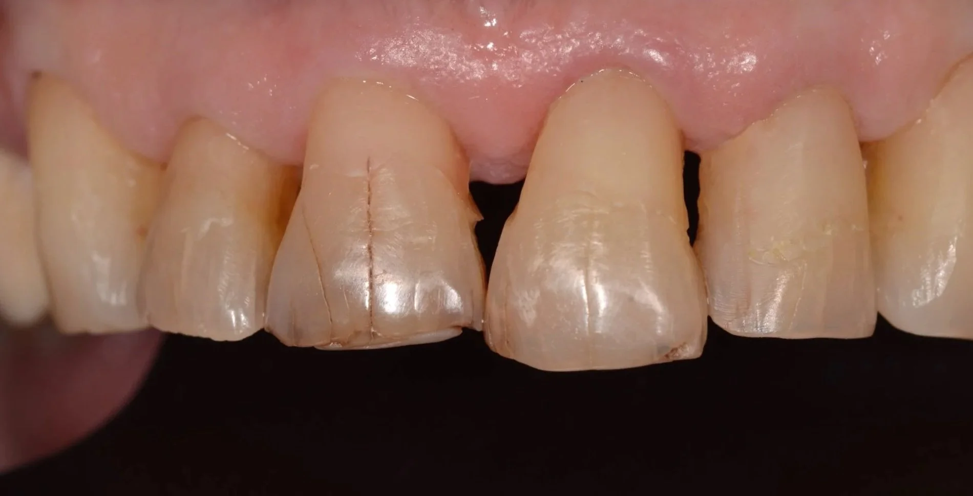
Tallados
Coronas definitivas
Instalación

